Dans ma tête
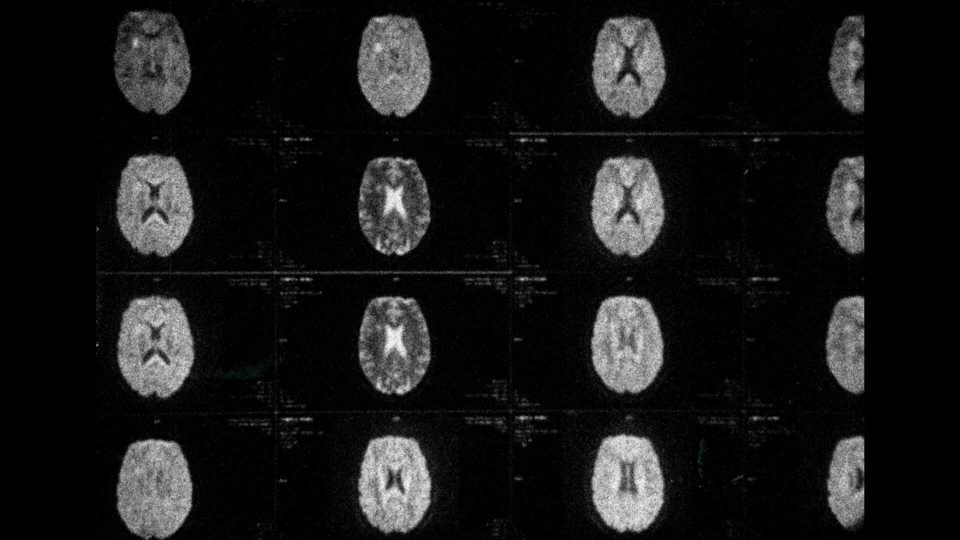
Dans ma tête est un court-métrage expérimental à la première personne qui traite de la sclérose en plaques de la cinéaste à travers ses images de résonance magnétique.
Prix et mentions
For the Love of Celluloid Award
Images Festival
Toronto
2025
Générique/Crédits
Réalisateur·rice
Irina Tempea
Direction de la photographie
Irinia Tempea
Conception sonore
Sacha Ratcliffe
Mixage
Benoit Parent
Mentor
Guillaume Vallée
Informations techniques
Couleur
Color / Black and White
Format d’image
16:9
Son
Stéréo
Format de tournage
16 mm
Super 8





